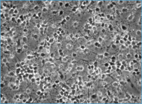
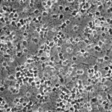
Oligodendrocyte Precursor Cells Proliferation
-
-
Presentation
- Multiple Sclerosis (MS) is a chronic demyelinating disease of the central nervous system for which there no curative treatment. Current therapies address only the inflammatory and immunological components of MS but remyelination of damaged axons appears as an attractive curative strategy. Among biological processes that may lead to remyelination of lesioned nerves include (i) the recruitment of oligodendrocyte precursor cells (OPC); and (ii) differentiation of OPC into mature myelinating oligodendroctes.
-
Compound testing
OPC cultures are obtained from cortex of rat pups. Test compounds are added just after cellular adhesion. Proliferation is assayed by an MTT test in 96-multi well plates after 3 days.
-
Endpoints
OPCP survival / proliferation



You could also be interested in
-
Viability and survival tests
The survival test exploits the natural tendency of cells to die in culture and is therefore used to assess the neuroprotective properties of compounds.
-
MBP-Induced EAE in the rat
EAE is a commonly used animal model which shares some degree of similarities with human multiple sclerosis.
RR-EAE in the rat
Relapsing/Remitting Multiple Sclerosis is the most frequent form of Multiple Sclerosis.